Le bruxisme
(ou le grincement des dents)
Le bruxisme est une manie inconsciente qui comprend le grincement et le serrement des dents pendant la journée et/ou pendant le sommeil.
Habituellement en dehors de la mastication et de la déglutition, vos dents ne doivent pas être en contact.
LES SYMPTÔMES DU BRUXISME
En cas de bruxisme, des symptômes peuvent apparaître sur un ou plusieurs éléments :
- MUSCLES : douleurs et crispations sur les muscles élévateurs de la mâchoire (qui font fermer la bouche). Ces douleurs peuvent s’étendre au crâne, au cou voire au dos,
- ARTICULATIONS : craquements, claquements, impression de sable et limitation et déviation d’ouverture
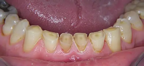
- DENTS et PROTHESES (couronnes, appareils…) : usures, fêlures, fractures, mobilités, sensibilités….
Certains traitements comme la gouttière de désocclusion, permettent de limiter les dégâts causés par le bruxisme
LES ORIGINES DU BRUXISME
Le bruxisme est principalement d’origine centrale : il est le résultat d’une manifestation psychosomatique liée aux angoisses et au stress et échappe donc à la volonté du patient, ce qui explique la difficulté de traitement du phénomène.
D’autres causes peuvent « aggraver » le bruxisme comme une instabilité au niveau des dents (dents absentes, mal alignées, avec une mauvaise forme…).
Il n’existe pour l’heure aucun remède agissant sur la cause du bruxisme, il s’agira seulement pour votre praticien d’en pallier les effets (prise de conscience par le patient et protection des organes par le port d’une gouttière de protection .
à noter
Le bruxisme peut mettre en péril les reconstructions prothétiques.
Elles devront obligatoirement être protégées par le port d’une gouttière la nuit.
Protection du bruxisme : la gouttière dentaire
Le bruxisme est principalement d’origine centrale : il est le résultat d’une manifestation psychosomatique liée aux angoisses et au stress et échappe donc à la volonté du patient, ce qui explique la difficulté de traitement du phénomène.
D’autres causes peuvent « aggraver » le bruxisme comme une instabilité au niveau des dents (dents absentes, mal alignées, avec une mauvaise forme…).
Il n’existe pour l’heure aucun remède agissant sur la cause du bruxisme, il s’agira seulement pour votre praticien d’en pallier les effets (prise de conscience par le patient et protection des organes par le port d’une gouttière de protection .
Étape 1 - Coopération
la prise de conscience est déjà un début de traitement, elle permet une autosurveillance pendant la journée : vous devenez « acteur » de votre traitement.
Étape 2 - Action
Port d’une gouttière de protection qui va subir les contraintes des forces du bruxisme.
- Protection des dents
- Soulagement des articulations
- Diminution des tensions musculaires
- Prise de conscience
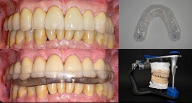
Fabrication et port de la gouttière de protection
Fabrication
Plaque transparente en résine dure qui recouvre entièrement les dents, fabriquée sur mesure au laboratoire sur un simulateur (cf. photo).
Port de la gouttière
Toutes les nuits et parfois la journée (à évaluer avec votre praticien).
Dans le cas d’un bruxisme important, il faudra envisager en même temps que la gouttière, une prise en charge du volet psychique.
