L'éclaircissement
(ou blanchiment dentaire)
Le blanchiment dentaire est un soin cosmétique médical.
Après un bilan complet de votre santé bucco-dentaire, il est possible de réaliser un éclaircissement de l’ensemble des dents concernées par votre sourire ou bien de cibler une ou un groupe de dents spécifiques.
L’éclaircissement dentaire trouve ses indications dans l’amélioration esthétique du sourire ou la correction de dyschromie (présence de tâche locale ou de coloration de l’ensemble de la dent).
Suivant le besoin défini lors de la consultation, le protocole d’éclaircissement vous est présenté et consiste le plus fréquemment par la simple application d’un gel de blanchiment à l’aide d’une gouttière faite sur-mesure pendant plusieurs jours (minimum 12 jour).
L’utilisation de gel de faible concentration de produit actif produit un éclaircissement en profondeur et en douceur pour un résultat durable.
éclaircissement
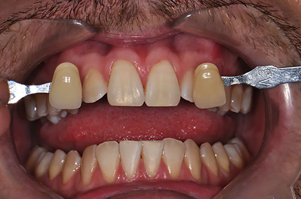
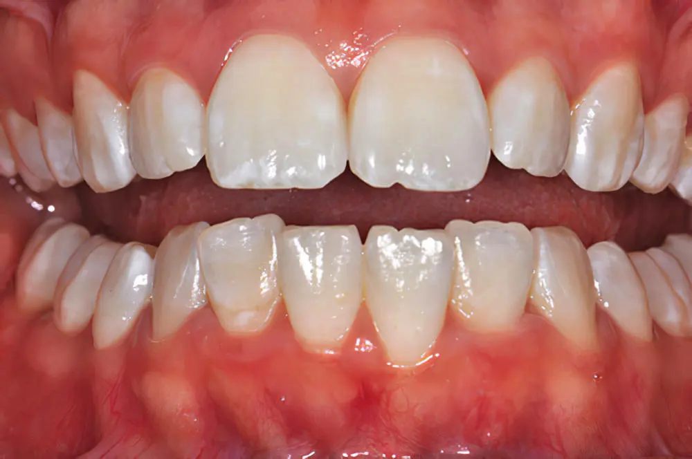
Exemple 1
Avant traitement
Pendant le traitement
Résultat final
éclaircissement
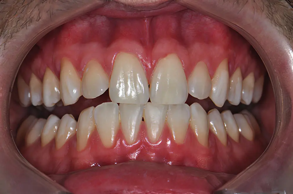
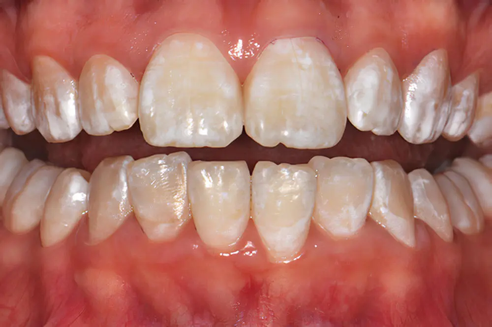
Exemple 2
Avant traitement
Pendant le traitement
Résultat final
